社会医療法人財団 大樹会 総合病院 回生病院

MENU

病理診断科

病理診断科の特徴

病理診断科は患者さんが適切な治療を受けていただくために必要な『最終診断(病理診断)』を提供する部門です。

病理診断イメージ

病理診断とは

患者さんが病院に来院されると、適切な治療のために適切な診断が必要になります。確定診断の為に行う検査時に、患者さんの体より採取された病変の組織や細胞から顕微鏡用のガラス標本がつくられます。この標本を顕微鏡で観察して診断するのが病理診断です。そして、この病理診断を専門とする医師が病理医です。「病理診断」にもいくつか種類があります。

細胞診断
乳房のしこり・甲状腺の腫れた所に針を刺してとったもの・婦人科検診で採ったものの良性・悪性を決める検査
生検組織診断
胃・大腸・肺の内視鏡検査を行った際につまみ取ったもの・皮膚などにできた、出来物を切り取ったものの良性・悪性を決める検査
手術材料による病理診断
手術によって摘出されたものの良性・悪性を決める検査
術中迅速診断
手術中に腫瘍の良性・悪性、腫瘍がとりきれているかどうか調べる検査
病理解剖
ご遺族の了承のもと、病死された患者さんの解剖をさせて頂く検査

病理診断は主治医に報告され、治療に生かされます。

病院に病理医がいることは、より良質の医療を提供することにつながります。

検体保存の意義とプライバシー保護

医療従事者は、質の高い医療の提供を第一の目的として、努力を重ねています。新しい検査法や治療法を開発するための医学研究・医療技術者を育てるための教育も同時に行われています。

病理診断を行ったあとの残った組織や細胞は、病院の規程に従って一定期間保存され、その後、礼をもって荼毘に付されます。これらの検体が医学研究・教育・診断の精度管理に用いられる場合もあります。この場合、個人の特定ができないよう、プライバシーの保護に細心の注意を払って行いますので、ご理解のほど何とぞよろしくお願いいたします。

以上、日本病理学会パンフレット「病理診断ってなあに」より引用

詳しい診療内容

細胞診断

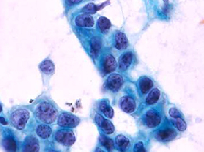
写真:子宮頸部軽度異形成
子宮頸部軽度異形成
写真:乳癌(硬癌)
乳癌(硬癌)

細胞診断(細胞診)は、ガラスに擦り付けた細胞をある特殊な染色によって色づけし、それを顕微鏡でみて癌細胞の有無を診断する検査です。細胞診の検査の対象となる材料は様々です。

肺がんや膀胱がんでは、痰や尿のなかにがん細胞が混じることがあります。痰や尿の標本を顕微鏡で調べてがん細胞が出ているかどうかを判断します。子宮がん検診では、子宮頸部から細胞をこすりとって調べます。のどや乳房などにしこりがあると、細い針を刺して吸引し、とれた細胞の中にがん細胞が出ているかどうかを調べます。

細胞診断を行っているのが、細胞検査士(臨床検査技師)と日本臨床細胞学会専門医(病理医)です。

生検組織診断

写真:大腸癌(腺癌)
大腸癌(腺癌)
写真:肺がん(扁平上皮癌)
肺がん(扁平上皮癌)

胃や大腸の内視鏡で病変がみつかると、そこから組織を摘み取って顕微鏡標本にします。それを生検と言い、その標本を病理医が顕微鏡で調べて、生検組織診断をつけます。皮膚などではメスで一部を切り取ることもしますし、肝臓や腎臓など、身体の中にある臓器では少し太い針を刺して組織を吸い取るような採取も行われます。たとえば「レントゲン写真に写った影が良性か悪性」か、という判定は、このような生検組織診断で最終判定されているのです。生検組織診断の対象は「がん」だけではなく、肝炎や腎炎の進行具合を見て治療方針を決定したり、白血病の治療効果を判定したりと、さまざまな目的で行われます。

手術で摘出された臓器・組織の診断

摘出された組織や臓器は、病理医が肉眼で病変の部位、大きさ、性状、広がりを確認し、診断に必要な部分を必要な数だけ切片にします。臨床検査技師が、この切片から顕微鏡標本をつくります。病理医が標本を顕微鏡で観察し、病変がどのような性状か、どれくらい拡がっているか、手術でとりきれたのか、追加治療が必要かどうかを判断し、治療方針の決定に役立つ情報を臨床医に提供します。 最近では、手術後の身体的障害を減らすために、手術による切除範囲を必要最小限とするようになってきています。これを「縮小手術」といい、そのために病変がとりきれたかどうかの厳密な判断が必要とされ、より多くの切片を観察して詳細な報告をする必要性が増しています。

手術中の迅速診断

摘出された組織や臓器は、病理医が肉眼で病変の部位、大きさ、性状、広がりを確認し、診断に必要な部分を必要な数だけ切片にします。臨床検査技師が、この切片か皮膚や乳房など直接針を刺したり切開を加えたりすることのできる部位や胃や大腸など内視鏡で到達できる部位などの病変は、手術前に生検を行って病理診断をします。しかし、病変が体の深い部分にあるために生検が難しく、手術前に病理診断ができない場合には、「術中迅速診断」を行います。術中迅速診断では、手術中に採取された病変組織を用いて、15分程度で病理診断が行われます。診断結果は執刀医に連絡され、手術方針が決定されます。病変がとりきれたかどうかの確認のため、手術によってとりだされた組織や臓器の切除断端を調べたり、がんの転移が疑われる部分を調べて手術で切除する範囲を決めたりするときにも、術中迅速診断は役立ちます。これにより、必要最小限の手術がなされます。

病理解剖

ご遺族の承諾のもとに、病院で病死された方のご遺体を解剖させていただくのが病理解剖です。スタッフによりご遺体の尊厳を守り、外からわかりにくいように切開し、切開部位や範囲も必要最小限として行われます。診断に必要な組織や臓器をとりだして、2時間ほどで終了します。肉眼所見からわかったことは、解剖が終わった時点で主治医から説明されますが、顕微鏡所見を含めた最終診断を下すには数ヶ月を要します。生前の診断は正しかったのか、どのくらい病気が進行していたのか、適切な治療がなされていたのか、治療の効果はどのくらいあったのか、死因は何か、といったことを詳細に調べます。診断結果は治療に関わった臨床医とは別の、第3者的立場で病理医が判断し、主治医に報告するほか、病院全体で検討会(臨床病理カンファレンス:CPC)を開催して討議しています。

病理解剖は残念ながら故人に直接役立つことはありませんが、1例の病理解剖から主治医を始め、われわれ医師が学ぶことは数限りなくあります。病理解剖を行うことにより、病院で行われている医療の質が検証されます。さらに、病理解剖の結果が蓄積されることによって、他の方法では得がたい医学の進歩への貢献が期待されます。 なお、(社)日本病理学会では、全国の病理解剖の情報を集めて「日本病理剖検輯報」を毎年出版することによって、世界一正確な死因統計を提供し、国民の健康・福祉に貢献しています。

担当医

  • 病理診断科部長

    竿尾 光祐

    • 日本病理学会病理専門医
    • 日本臨床細胞学会細胞診専門医
    • 香川大学医学部医学科臨床教授
    顔写真イメージ
  • 非常勤医師
    (香川大学医学部 病理学講座より)

    顔写真イメージ

担当スタッフ

  • 臨床検査部主任

    鈴木 貴子

    • 臨床検査技師
    • 細胞検査士
    • 国際細胞検査士
    顔写真イメージ
  • 谷本 由香利

    • 臨床検査技師
    • 細胞検査士
    • 国際細胞検査士
    顔写真イメージ
  • 中川 幸智代

    • 臨床検査技師
    • 細胞検査士
    • 国際細胞検査士
    顔写真イメージ
診療予定表はこちら
page top